Sinusites

Les symptômes peuvent etre trés différents, de part les multiples causes responsables, le sinus atteint et l’ancienneté du problème.

Un sinus est une cavité pleine d'air située soit devant le visage (frontal, maxillaire et ethmoidal), soit au milieu du crâne (sinus sphenoide).

sinus max


La sinusite correspond à l’inflammation (irritation) d’un ou plusieurs de ces sinus. Cette inflammation peut etre due à une infection, une tumeur (bénigne ou maligne), une mauvaise aération ou enfin une contamination par continuité (probleme dentaire).

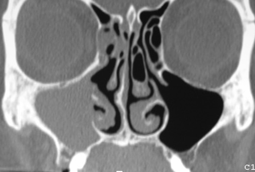
Un bilan par une endoscopie lors d une consultation est essentiel en cas de récidive ou de persistance surtout apres un premier traitement tres souvent effectué par votre médecin traitant. Parfois, il est demandé un bilan complémentaire par un scanner des sinus ou des dents soit en urgence, soit à distance du traitement.

sinusite max  03


Enfin en fonction de la cause une chirurgie pour améliorer la respiration, d'ouverture des sinus ou de retrait de la tumeur peut être proposée en fonction du bilan. Dans certains cas un geste associé avec un chirugien Maxillo Facial ou votre dentiste peut etre nécessaire.





© frederic facon 2016