Nez de l'adulte

Les troubles du nez chez d’adulte peuvent être divisée en trois grandes causes qui peuvent biensur s’associer :

- la gene esthetique

outre la disgrâce due eventuellement à un choc il peut y avoir une gene respiratoire.Un Orl pourra gérer l’ensemble de ses fonctions.

- la gene respiratoire

comme pour l’enfant elle peut etre source de perturbation de la position de la langue. Ainsi nombreux sont les patients dont le changement de position de leurs dents les conduisent à faire ou refaire un traitement orthodontique. Comme pour l’enfant le traitement ne pourra être stable dans le temps que si la respiration nasale est optimisée.

Chez l adulte la gene respiratoire peut s’associer à d’autres anomalies anatomiques et gener pour partie la prise en charge des ronflements et des apnées du sommeil ou favoriser les infections

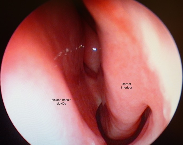
deviation cloison



- les infections

l'obstruction du nez par des polypes, par un gonflement de la muqueuse (veritable papier peint recouvrant l’intérieure du nez) du à des allergies, la pollution ou par des virus va entrainer une mauvaise évacuation des secretions responsable d infection apres quelques jours. Si la situation est rare un simple traitement de la crise suffit mais parfois la répétition ou la persistance de ces crises nécessite un traitement medical ou parfois chirurgicale.



© frederic facon 2016